Understanding Lichen Sclerosus
(Pronounced ligh-kuhn-skluh-ROH-suhss)

Understanding Lichen Sclerosus

Exploring symptoms & causes of Lichen Sclerosus

Diagnosis & treatment of Lichen Sclerosus

Recommendations & Resources

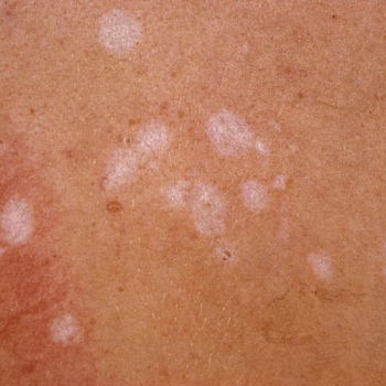
What is Lichen Sclerosus?
This is a chronic inflammatory skin condition that mainly affects the vulva in women and female children and the penis in men and boys. It commonly causes itchy white waxy patches to appear on the skin as well as; fissures, ulcers, nonhealing lesions, or blood blisters and skin tears. There may also be itchy spots on the skin around the anus. Over time, the spots can spread and merge together to form large white plaques.
It is most common in girls before puberty and women after the menopause but can and frequently does, occur at any age. The true prevalance of Lichen Sclerosus is not known but it affects up to 3% of the population, most prominently postmenopausal women [1]. It’s important to note that Lichen Sclerosus is not an infection and cannot be spread to your partner or to anyone else.
Symptoms & Causes
What Causes Lichen Sclerosis?
Doctors don't know the exact cause of Lichen Sclerosus, but it thought to be an auto-immune disease. It is believed that people may inherit the likelihood of getting the disease. Sometimes, Lichen Sclerosus can also appear on skin that has been damaged or scarred from a previous injury or trauma.
There may be a hormonal component linked to Lichen Sclerosus. Since the condition is frequently diagnosed before puberty and after menopause, low estrogen levels may play a role in its development. Estrogen deficiency can contribute to skin atrophy, which is often seen in conjunction with Lichen Sclerosus. As a result, healthcare providers commonly recommend topical estrogen treatments to help restore skin elasticity and alleviate symptoms [2].

Symptoms of Lichen Sclerosus
Common Symptoms: Itching (mostly at night), Burning, Pain/soreness, White waxy skin or patches, Fissures, ulcers, nonhealing lesions, or blood blisters, Tearing of the skin, Chronic urinary tract or yeast infections.
Severe symptoms: Labial resorption (tightening of the skin or loss of skin folds), Clitoral phimosis (fusing of the clitoral hood), Labial scarring/fusing (connections around the opening of the vagina leading to narrowing or tearing).
Secondary symptoms: Depression, Isolation, Fatigue, Anxiety, Low self-esteem, Loss of sleep, Low libido, Loss of relationships, Pain during sex, urinating, or having a bowel movement, Vulvar cancer.
Diagnosis & Treatment

How is Lichen Sclerosus diagnosed?
The diagnosis of Lichen Sclerosus can usually made from the appearance of the condition. However, Lichen Sclerosus can resemble Vitiligo (loss of skin colour) or Lichen Planus (which is more purple), so for a certain diagnosis a biopsy can be carried out and a small specimen of skin examined under the microscope.
A blood test may also be carried out to check for thyroid disease and anaemia, as these may be more common in women with Lichen Sclerosus [4].
Is Lichen Sclerosus and Cancer related?
There is a small increased risk of vulval cancer with a lichen sclerosus diagnosis [5]. According to research, women with Lichen Sclerosus may develop a condition called differentiated Vulval Intraepithelial Neoplasia (dVIN). Without treatment, dVIN can turn into vulval cancer [6]. The incidence of developing cancer is low, none the less, it is best to get into the habit of checking your vulva about once a month to look out for any signs of changes and get checked by a healthcare professional.
Treatment of Lichen Sclerosus
For most people, Lichen Sclerosus is a long-term condition that lasts for many years and may flare up and down over time. There is presently no cure, but symptoms can normally be controlled with steroid medication applied directly to the affected skin. Occasionally, Lichen Sclerosus goes away on its own and does not come back, but this usually only occurs when children with the condition reach puberty [7].
During the treatment process the skin can become thinner and more sensitive. Washing gently in a shower or bath with plain water alone will help. Many women find it helpful to apply a vaginal moisturizer or lubricant to relieve dryness or itching.
It’s important to remember that Lichen Sclerosus is very individualized and someone's symptoms and treatment course can differ considerably from someone else's. Seeking quality care is extremely important.

Tips for managing Lichen Sclerosus
- - Speak to your doctor about
- - Speak to your OB-GYN about treatment options
- - Regularly apply a barrier cream or emollient to affected areas
- - Use vaginal lubricant if sex is uncomfortable
- - Wear cotton or silk underwear
- - Wash with an emollient soap substitute instead of regular soap
HCP Tip: Try applying AH! YES® WB before vaginal examinations for a more comfortable experience
Lichen Sclerosus and Sex
Many women with Lichen Sclerosus can have sex, and indeed regular sex is often recommended as without it, the introitus (entrance to the vagina) may close up. The use of dilators, vibrators and finger insertion is also encouraged for the same reason.
AH! YES® Lubricants
How can they help with discomfort during intercourse?

-
pH Matched Water Based Lubricant - AH! YES® WB
Regular price From US $18.99 USDRegular priceUnit price perUS $39.98 USDSale price From US $18.99 USDSale -
Nourishing Coconut-Oil Natural Lubricant - AH! YES® COCO
Regular price From US $18.99 USDRegular priceUnit price per -
Soothing Plant Oil Natural Lubricant - AH! YES® OB
Regular price US $27.99 USDRegular priceUnit price per -
Double Glide Lubricant Bundle - AH! YES®
Regular price US $42.99 USDRegular priceUnit price perSold out

Soothing the skin with plant-oil based lubricants
AH! YES® OB is a natural emollient and alternative to synthetic chemical lubricants such as silicone or petroleum-based products. It is long-lasting, richly nourishing and designed to protect and soothe dry intimate tissues. It can be used during intercourse and can also be used daily, as needed to protect delicate skin.
AH! YES® COCO applicators are made using organic coconut oil. They are a natural plant-oil-based alternative to silicone lubricants and are richly nourishing, providing soothing relief for dry vulval and vaginal tissue.

Calming the itch
AH! YES® VM vaginal moisturizer has been designed to alleviate symptoms of vaginal dryness, gently replenish vaginal moisture levels and improve comfort without compromising intimate health. Moisture is released slowly at the rate the body needs keeping the vagina hydrated for up to three days. AH! YES® VM can be applied internally using applicators or externally to the vulva.
98% of our customers would recommend AH! YES® VM and 85% of our customers experienced relief from symptoms within 1 hour.

Intimate Washes
AH! YES® CLEANSE is our certified organic, plant-based, gentle cleanser that does not contain concerning ingredients or skin irritants. Just like our other water-based products, AH! YES® CLEANSE has been carefully developed to ensure that it matches the vulval pH to protect the intimate environment.
It is designed to keep the outer genitalia (the vulva) fresh and clean without disturbing the pH. This is what makes it a great alternative to soap or other less natural intimate washes, should you wish to use more than water to wash with.
Recommendations & Resources
"I work in the Blanche Heriot Unit as a specialist Nurse seeing patients with vulval pain and discomfort. I have found having samples to give to my patients a real benefit. My patients are not at all afraid or apprehensive about using these products because they have no additives or chemicals which may cause further skin irritation. The benefits my patients have found include not just the lubrication side but also for 'putting moisture back down there'. Lots of patients find the double glide method eg. AH! YES® OB oil-based first and then AH! YES® WB water-based very effective for increasing comfort during and after intercourse. Keep up the good work. AH! YES® is a great product. Many thanks."
"I work as a Vulval Dermatologist and women with genital skin conditions often find sex, and the friction of sex, can make their skin conditions worse. As a consequence of this I always recommend using a lubricant, and I have found that those women who have used AH! YES® report that it is by far the best lube they have tried, both in terms of lubrication and it's lack of irritancy."
“I frequently tell my patients to use lubrication during intercourse, and it is important to be wary of over-the-counter lubricants which can contain synthetic chemicals, capable of causing irritation and inflammation. I recommend AH! YES® certified organic dual-purpose moisturizer and lubricant as it is guaranteed free from all synthetic chemicals and all known skin irritants. I find it helps most women either post –surgery or those with a painful sex condition such as vulvodynia. AH! YES® can provide a pure and simple solution to symptoms and is often as effective as the medical interventions”.

"I have tried many different AH! YES® products over the years and particularly like the soothing effect from the plant oil lubricants. I have struggled with vaginal atrophy for the last 20 years following treatment for breast cancer and then the menopause. I recently tried the COCO lubricant and I have to say I’m so impressed! It feels very light in its texture without being runny and I felt it helped soothe my vaginal tissues as well as the vulva when I inserted it at bedtime. Absolutely no stinging or inflammation the next day! I will absolutely be adding AH! YES® COCO to my weekly vaginal health routine now. Thank you so much.”

“Lubrication for the vulva and vagina is an area of women’s health that needs more attention. Many women are not aware of the benefits that good lubrication can bring at any age or stage of our lives and that the outer skin needs lubrication as much as the inside of the vagina. A few years ago women had a limited choice of product but now there is a wide variety to choose from. I am often asked which lubricant I like to use. In my work for VHAC and in my private life, I have tried the full range of lubricants available today and I find my favourite is AH! YES®. AH! YES® OB plant-oil based is excellent for daily use to prevent dryness, even if intercourse is not taking place and AH! YES® WB water based is best used with condoms and before and during intercourse. Having a vulval skin condition often means seeking out a gentle product without harmful additives that may irritate.”
